Прежде чем приступать к описанию заболеваний зубов и полости рта, мы хотели бы обратить Ваше внимание на основные элементы/составляющие нашего зуба. Ведь понимая, из чего он состоит, Вы сможете более корректно представить процессы, происходящие с зубом в рамках того или иного заболевания.
Предлагаем ознакомиться с материалом: О зубах - какие бывают, сколько должно быть и из чего состоят
Итак, приступим к описанию подобных заболеваний:
КАРИЕС – одно из самых распространенных заболеваний во всем мире и одновременно одно из самых легко предотвращаемых.
Кариес это сложный, медленно развивающийся патологический процесс в твёрдых тканях зуба, появляющийся по причине комплексного влияния неблагоприятных внешних и внутренних факторов.
В начальной стадии своего развития кариес характеризуется очаговой деминерализацией неорганической части эмали, которая обычно приводит к разрушению твёрдых тканей зуба с образованием в полости зуба дефекта в эмали.
При отсутствии лечения возникают воспалительные процессы со стороны пульпы и периодонта (см. строение зуба).
ПУЛЬПИТ – это воспаление зубной ткани пульпы, которая содержит кровеносные сосуды, нервы и соединительные ткани внутри зуба, обеспечивает приток крови и питательных веществ к зубу. Пульпит в основном вызывается бактериями и инфекциями, которые, в свою очередь, являются последствиями развития глубокого кариеса. Проявляется в виде зубной боли.
Чаще всего пульпит является результатом кариозного процесса, поэтому наиболее эффективной профилактикой является своевременное лечение кариеса, а также регулярные стоматологические осмотры.
Возникновению пульпита можно легко противостоять еще и потому, что практически каждый человек способен понять, что у него есть кариес (особенно при «запущенной» форме), и, следовательно, знает, что его нужно лечить. Однако, вместо того, чтобы посетить стоматолога, многие люди предпочитают месяцами ходить с кариесом и из-за собственных предрассудков и страха не обращаются к врачу. А ведь уже прошли времена, когда стоматологов боялись по причине несовершенных технологий.
Напоминаем Вам, что специалисты ОДО «Мастер клиник» в своей работе применяют современные обезболивающие препараты, что является гарантом безболезненного лечения.
Помните, в случае воспаления пульпита его не рекомендуется лечить самостоятельно. Это опасно для Вашего здоровья. Пульпит лечится только в стоматологическом кабинете квалифицированными специалистами.
ПЕРИОДОНТИТ - это воспаление корневой оболочки зуба вместе с прилегающими к нему тканями. Характеризуется нарушением целостности связок удерживающих зуб в альвеоле (альвеола – это зубная лунка / углубление в челюсти, в которой расположен корень зуба), нарушением кортикальной пластинки кости окружающей зуб (кортикальная пластинка – это плотная тонкая пластинка, образующая наружную часть всех костей, выполняющая механическую, защитную и др. функции), а также резорбцией костной ткани от небольших размеров до кист больших размеров (резорбция - это процесс разрушения костной ткани).
ПАРОДОНТИТ - заболевание десен, характеризующееся воспалением периодонта с последующим нарушением целостности связок, которые удерживают зуб в альвеоле (альвеола – углубление в челюсти, в которой находится корень зуба).
При пародонтите воспаление десны распространяется на другие ткани пародонта, разрушается зубодесневое соединение, происходит деструкция костной ткани альвеолярного отростка и периодонта. Это заболевание является основной причиной потери зубов в старшем возрасте. На начальных этапах его развития обычному человеку его трудно опознать, поскольку оно редко вызывает боль.
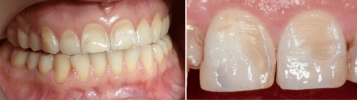
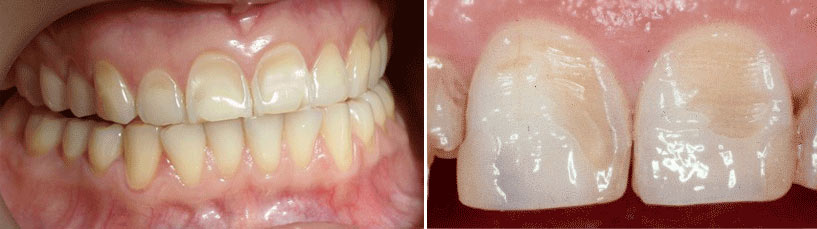
ЭРОЗИЯ ЭМАЛИ ЗУБОВ — это поражение эмали, а в некоторых случаях и дентина (дентин – минерализованная ткань зуба, служащая его основой и поддерживающая зубную эмаль). Эрозия эмали относится к некариозным поражениям, т.е. входит в группу болезней (и повреждений) твёрдых тканей зубов.
Эрозия появляется под воздействием кислот (как правило содержащихся в пище), напитков и кислот желудочно-кишечного тракта. Употребление чрезмерного количества кислых напитков, фруктовых соков и чаев, а также газированных напитков, являются благоприятными факторами для образования эрозии.
Особенно негативное воздействие на эмаль оказывают газированные напитки (например, всеми любимая кола). Не рекомендуется после ее употребления чистить зубы – эмаль в это время будет крайне подвержена механическим воздействиям. Лучше просто прополоскать рот водой либо специальным раствором.
Также необходимо понимать, если у Вас имеются заболевания желудочно-кишечного тракта, способные вызывать рвоту или частые отрыгивания желудочной кислоты, необходимо обратиться к врачу для их ликвидации.
ТРАВМЫ ЗУБОВ - это травмы, полученные в результате механического повреждения зубов. Их нельзя отнести к разряду заболеваний, но их смело можно зачислить в разряд причин обращения к стоматологу.
Наиболее часто они присущи молодежи, которая ведет более активный образ жизни, нежели представители старшего поколения.
Подобные травмы можно разделить по причинам их возникновения: на травмы, связанные со спортом, активным образом жизни, неосторожностью и невнимательностью, несоблюдением правил техники безопасности при производстве работ и травмы, появившиеся в результате несчастного случая.
В силу особенностей своего месторасположения наиболее подвержены подобным повреждениям резцы передних зубов – именно они принимают на себя «основной удар» или физическое воздействие при первичном контакте.
Простая осмотрительность и осторожность в большинстве случаев позволит Вам избежать подобных травм и последующих затрат времени и денег на лечение и восстановление. Будьте внимательны и осторожны, берегите себя!
СТОМАТИТ – это воспалительное заболевание слизистой оболочки рта. Данный термин применим к любому воспалительному процессу, затрагивающему слизистые оболочки рта и губ. Причины его возникновения в настоящее время мало изучены, и до сих пор требуют ответа многие вопросы, связанные с его этиологией, патогенезом и лечением. Хотя известно, что существует определённая взаимосвязь между стоматитом и системными заболеваниями организма.
Воспаление может быть вызвано плохой гигиеной полости рта, недостаточностью белка в пище, некорректно установленными зубными протезами, физическим или химическим повреждением слизистой оболочки (ожогами рта или повреждениями, вызванными употреблением еды и напитков). Также на появление стоматита могут влиять факторы, воздействующие на весь организм в целом: лекарства, аллергические реакции, лучевая терапия, инфекции, вирусы, бактериальные заражения и др.
Нередко стоматит проходит сам по себе в случае прекращения воздействия факторов, его вызывающих. Отсюда вытекает и некоторое пренебрежение со стороны пациента к необходимости посещения врача для консультации и осмотра. А ведь далеко не всегда причину воспаления можно явно идентифицировать, порой это сложно сделать даже врачу, не говоря уже о диагностике самим пациентом. Поэтому в случае появления подобных симптомов рекомендуется обращаться к врачу во избежание дальнейших возможных осложнений.
РАК ПОЛОСТИ РТА – это злокачественное новообразование в полости рта. К счастью, оно встречается не так часто, хотя в последнее время отмечается тенденция к росту.
Внимание! В случае появления у Вас безболезненных узелков, язв или трещин в полости рта (эти симптомы характерны для раннего периода заболевания) обязательно обратитесь к врачу!
Любой квалифицированный стоматолог, обнаружив данные проявления, незамедлительно направит Вас на обследование.
Возникновение рака полости рта обусловлено бытовыми привычками, питанием, воздействием факторов внешней среды. На долю языка приходится порядка 65% случаев обнаружения опухолей, на долю слизистой оболочки щёк - 12.9%, 10.9% - на дно ротовой полости, 8.9% - на слизистую оболочку альвеолярных отростков верхней челюсти и твердого неба, 6.2% - на мягкое нёбо, 5.9% - на слизистую оболочку альвеолярных отростков нижней челюсти и твердого неба, 1.5% - на язычок мягкого нёба, 1.3% - на передние нёбные дужки.
Вышеперечисленным заболеваниям чаще всего подвержены мужчины – в 5-7 раз больше, чем женщины. Обычно пик заболеваемости приходится на возраст 60-70 лет, а риск заболеть возрастает уже с 40 лет. Однако, к сожалению, бывают случаи обнаружения подобных патологий и у детей.
Определённую опасность представляет постоянное травмирование слизистой оболочки коронкой зуба, пломбой или зубным протезом (обратитесь к врачу для исправления, не ждите, пока коронка/пломба «притрется», может быть уже поздно).
Также в группу риска входят люди, работающие на вредных производствах (воздействие вредных веществ, повышенных температур и иных факторов). Влияние характера питания на заболеваемость заключается в недостаточном количестве витамина А, в употреблении слишком горячей и острой пищи.
Обращаем Ваше внимание, что особую группу риска формируют люди, злоупотребляющие алкоголем и курением!
Немного статистики:
На начало 2019 года доля курящего населения в возрасте 16 лет и старше в Республике Беларусь составила 23,8%. Чаще всего курят лиди в возрасте 30-39 лет (их 35,1%). По оценкам ВОЗ, из 300 смертей, которые регистрируют в Беларуси ежедневно, 14% возникли в результате употребления табака.
Также наша страна занимает высокое место в мировом рейтинге потребления алкоголя в среднем на душу населения (согласно отчету ВОЗ). Позиция страны - 27-я из 108 (данный показатель считается опасным). Согласно статистике, на учете в Беларуси стоят 158 тыс. человек, у которых есть диагноз. Еще порядка 95 тыс. находятся под профилактическим наблюдением. Среднее потребление алкоголя в нашей стране составляет 8,1 литра на человека в год!.
Вдумайтесь в эти шокирующие цифры! Помните, Ваше здоровье - в Ваших руках!
![]()
Если после ознакомления с опубликованным Выше материалом у Вас возникли какие-либо вопросы - запишитесь на консультацию в стоматологию ОДО "Мастер клиник".
Наши специалисты всегда окажут посильную помощь при решении проблем с зубами и уходом за полостью рта.
Помните! Здоровье в первую очередь зависит от Вас самих, Вашего образа жизни и привычек. Берегите его!
С уважением, коллектив ОДО "Мастер клиник"





